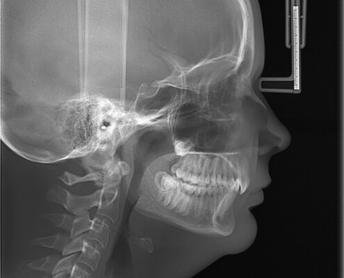
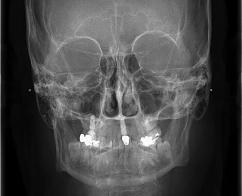
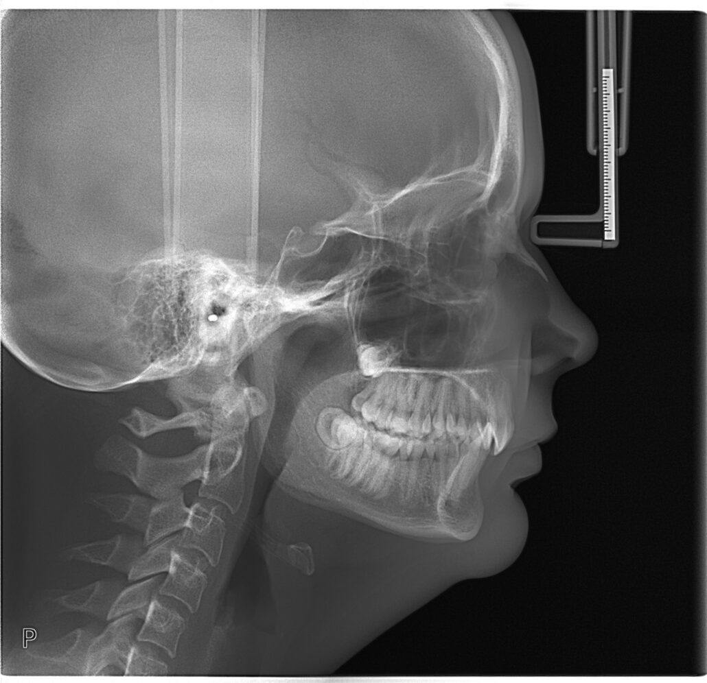
CEPH X-Ray
A cephalometric x-ray is a unique tool, which enables the dentist to capture a complete radiographic image of the side of the face. X-rays, in general, offer the dentist a way to view the teeth, jawbone and soft tissues beyond what can be seen with the naked eye. Cephalometric X-rays are extraoral, meaning that no plates or film are inserted into the mouth. Cephalometric and panoramic X-rays display the nasal and sinus passages, which are missed by intraoral bitewing X-rays.
Cephalometric X-rays are usually taken with a panoramic X-ray machine. The adapted machine will have a special cephalometric film holder mounted on a mechanical arm. An X-ray image receptor is exposed to ionizing radiation in order to provide the dentist with pictures of the entire oral structure. The advantage of both cephalometric and panoramic X-rays is that the body is exposed to less radiation.
Cephalometric X-rays are not as common as “full sets” or bitewing X-rays, but they serve several important functions:
- Provide views of the side profile of the face.
- Provide views of the jaw in relation to the cheekbone.
- Provide information about “bad bites” or malocclusions.
- Allow measurement of the teeth.
- Identify fractures and other injuries to the teeth and jawbone.
- Assists in orthodontic planning.
How are cephalometric X-rays taken?
Cephalometric X-rays are completely painless. The head is placed between the mechanical rotating arm and the film holder, which is placed on another arm. The arm rotates around the head capturing images of the face, mouth and teeth. The clarity and sharpness of these images will depend on the positioning of the body. The images are usually magnified up to 30%, so any signs of decay, disease or injury can be seen and treated.
After capturing cephalometric X-rays, the dentist will be able to see a complete side profile of the head. This can assist in orthodontic planning, and allow an immediate evaluation of how braces might impact the facial profile and teeth. Another common use for this type of X-ray is to determine specific measurements prior to the creation and placement of dental implants.



