CEPH Tracing
Digital ceph X-rays have come a long way since their inception a few decades ago. Modern digital technology makes taking and managing cephalometric X-rays faster and safer than ever before. Take a look at just a few important technology improvements in digital cephalometric X-ray design and function to help make practices more efficient and improve patient care.
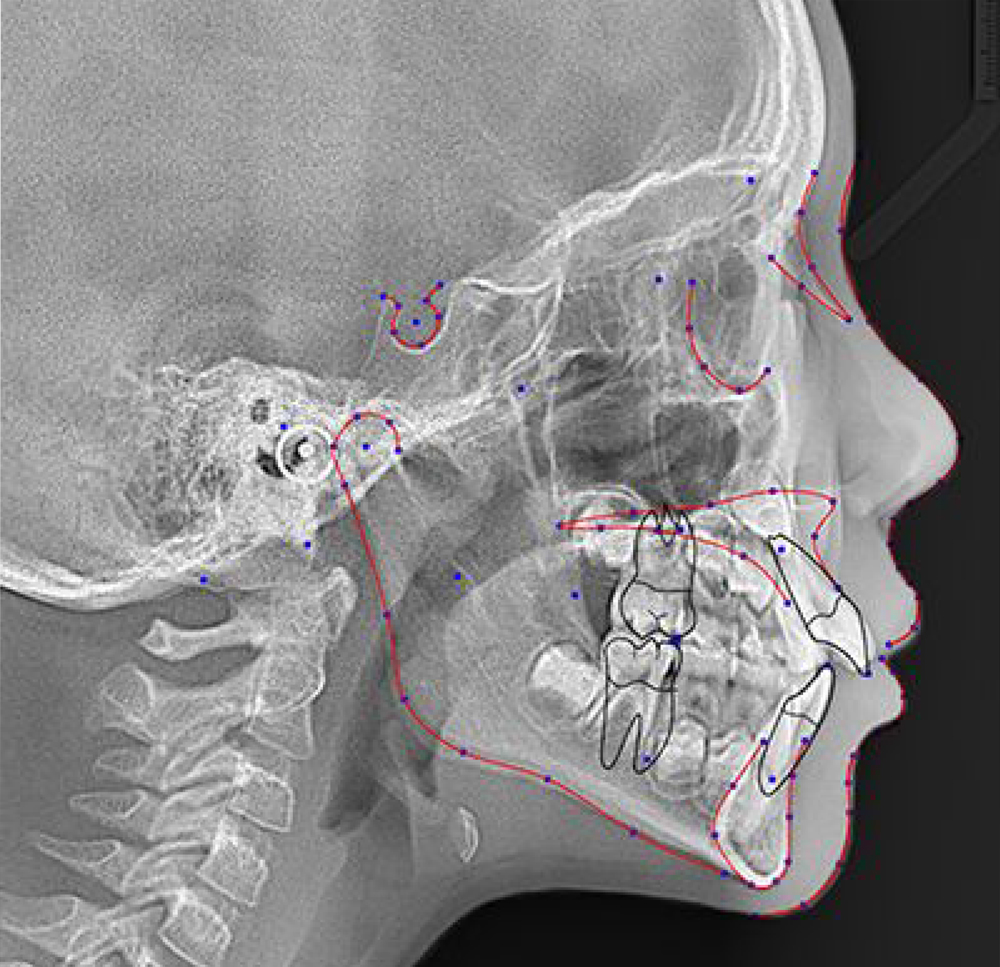
Today’s digital imaging software provides tools that allow for 1:1 measurement of ceph X-rays, which is a concern for many dental professionals migrating from analogue systems. In addition, modern imaging software allows you to create serial superimpositions with cephalometric tracing. The ability to compare and contrast those images can be one of the most effective ways to measure growth, and these images can also help you see how the mouth is responding to treatments such as orthodontics. Plus, advanced treatment simulation modules available in some software packages, allow you to diagnose, plan, and present cases using 2D digital ceph X-rays, improving case acceptance.
Much like analogue X-ray units, “One Shot” cephalometric captures the entire area in a single pulse of radiation, minimizing risk of exposure, streamlining capture time, eliminating imaging seams and reducing motion artifacts.
Many practices don’t realize that flexible cephalometric X-ray configuration is important. Let’s face it, ceph X-rays are large and sometimes you have to be creative in your room design to get a cephalometric X-ray to fit. To help minimize this frustration, manufacturers feature models that allow for either a right or a left configuration. That means that the ceph X-ray attachment could be affixed to the right or the left of the panoramic X-ray machine based on spatial needs. If space is a consideration for your practice, make sure you ask about ceph orientation options.
The introduction of large field of view cone beam systems have provided yet another way for practices to capture cephalometric images. You simply capture a large field of view 3D scan, then extract a 2D cephalometric image from the volumetric CBCT data. That way you get all of the records and patient information that you need in one convenient scan – a great solution for orthodontic or surgical practices. In addition, some X-ray systems today have the added benefit of a dedicated 2D panoramic/ cephalometric X-ray machine combined with a 3D sensor, giving you the flexibility of capturing 3D scans or traditional 2D images, based on your patient and practice needs.


